مدونات

أحدث المدونات

ابق على اطلاع بأحدث التطورات في مدينة برجيل الطبية

أحدث المدونات

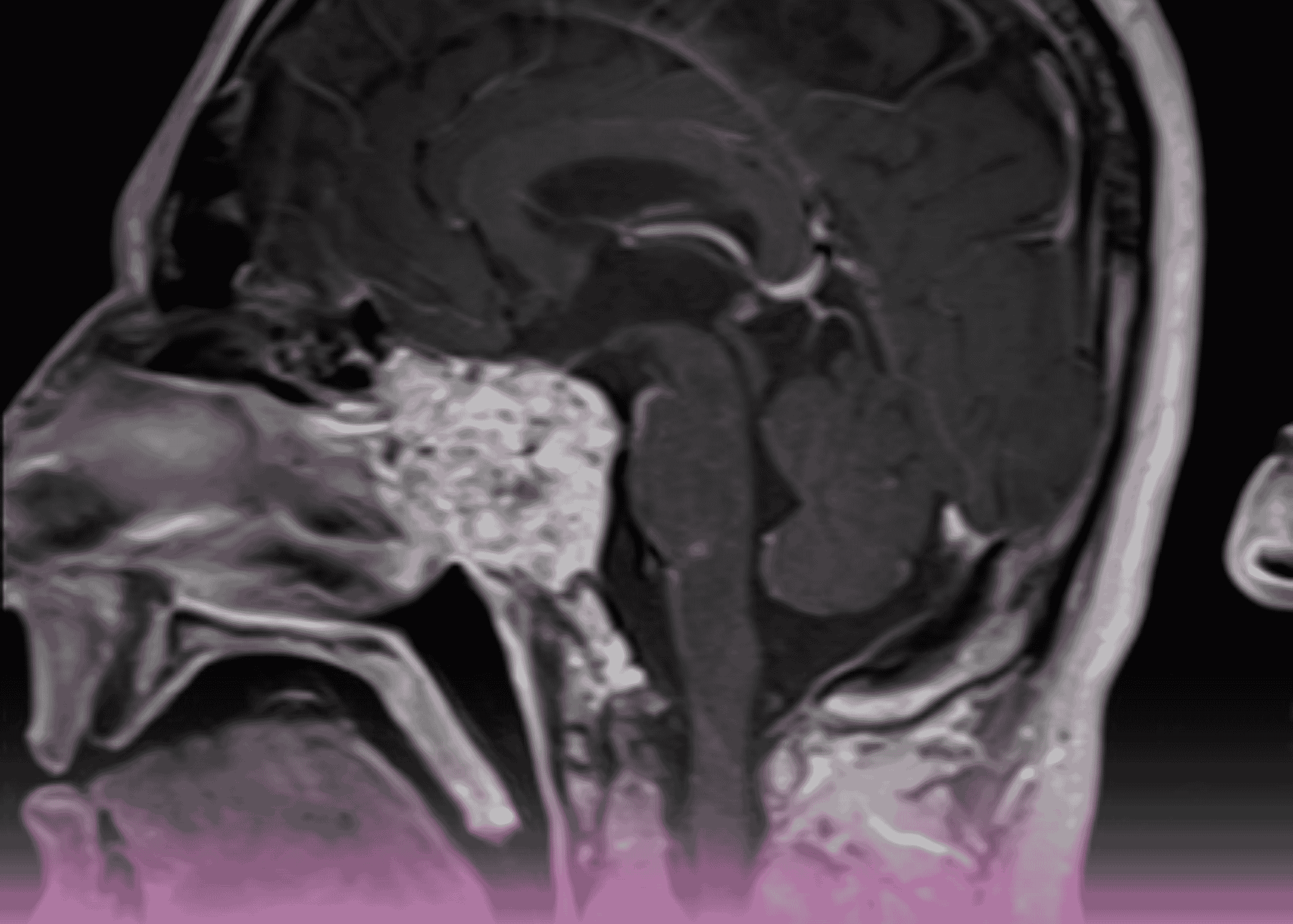
ورم كلايفال كوردوما: التدبير الجراحي المتقدم بالمنظار لورم نادر في قاعدة الجمجمة

ورم كلايفال كوردوما: التدبير الجراحي المتقدم بالمنظار لورم نادر في قاعدة الجمجمة

مقدمة أورام قاعدة الجمجمة تمثل بعضاً من أكثر الحالات تحدياً في جراحة

اعرف أكثر
التهاب القولون الإقفاري مع ثقوب متعددة: التدبير الجراحي لحالة مهددة للحياة

التهاب القولون الإقفاري مع ثقوب متعددة: التدبير الجراحي لحالة مهددة للحياة

مقدمة التهاب القولون الإقفاري يمثل تحدياً كبيراً في جراحة الجهاز الهضمي، خاصة

اعرف أكثر
فتق الحجاب الحاجز ما بعد الرضح: التدبير الجراحي لحالة معقدة باستخدام المدخل الصدري البطني

فتق الحجاب الحاجز ما بعد الرضح: التدبير الجراحي لحالة معقدة باستخدام المدخل الصدري البطني

مقدمة تمثل الفتوق الحجابية تحدياً جراحياً كبيراً، خاصة عندما تكون كبيرة وتحتوي

اعرف أكثر